むこうがおかクリニック

044-934-3217
トップ > 超音波検査(頸動脈、甲状腺、腹部など)

超音波検査(頸動脈、甲状腺、腹部など)

超音波診断装置(エコー)

超音波診断装置(エコー)

●頸動脈検査(動脈硬化測定)
●甲状腺エコー
●腹部エコー(肝臓・胆のう、すい臓、腎臓、脾臓、腹部大動脈、膀胱、前立腺など)

 

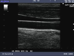
  • エコー画像

    エコー画像:
    健康な血管(十分に血液が流れる)

  • エコー画像

    エコー画像:
    つまっている血管(血液が流れにくい)

  • 点滴ブティックへようこそ
  • DHEA(疲れ)
  • 攻めるAGA(育毛)治療! 守る(フィナステリド)だけじゃダメ!
  • ED(男性)
ページのトップへ戻る